Wat zijn uitzaaiingen in de hersenen bij longkanker? Pfizer
-min.jpg)
In het kort. Bij uitgezaaide longkanker wordt u meestal niet meer beter. Behandelingen hebben voordelen en nadelen. Ze kunnen klachten minder maken. Soms kunnen ze ervoor zorgen dat u langer leeft. Vooraf is het niet zeker of een behandeling zal werken bij u. Nadelen zijn bijwerkingen en de energie en tijd die ze u kosten.
Boys Talk uitslag MRI scan

Delen. Luister. Longkanker is kanker die in de longen ontstaat. De medische term hiervoor is longcarcinoom. Roken is de belangrijkste risicofactor voor longkanker. Bij longkanker zit er een kwaadaardige tumor in één of beide longen. Je longen zitten in je borstkas. Uitzaaiingen van een andere kankersoort in de longen is geen longkanker.
Longkanker over de ziekte

Zillow has 7 photos of this $69,000 2 beds, 2 baths, 1,064 Square Feet single family home located at 316 N Ninnescah St, Pratt, KS 67124 built in 1926.
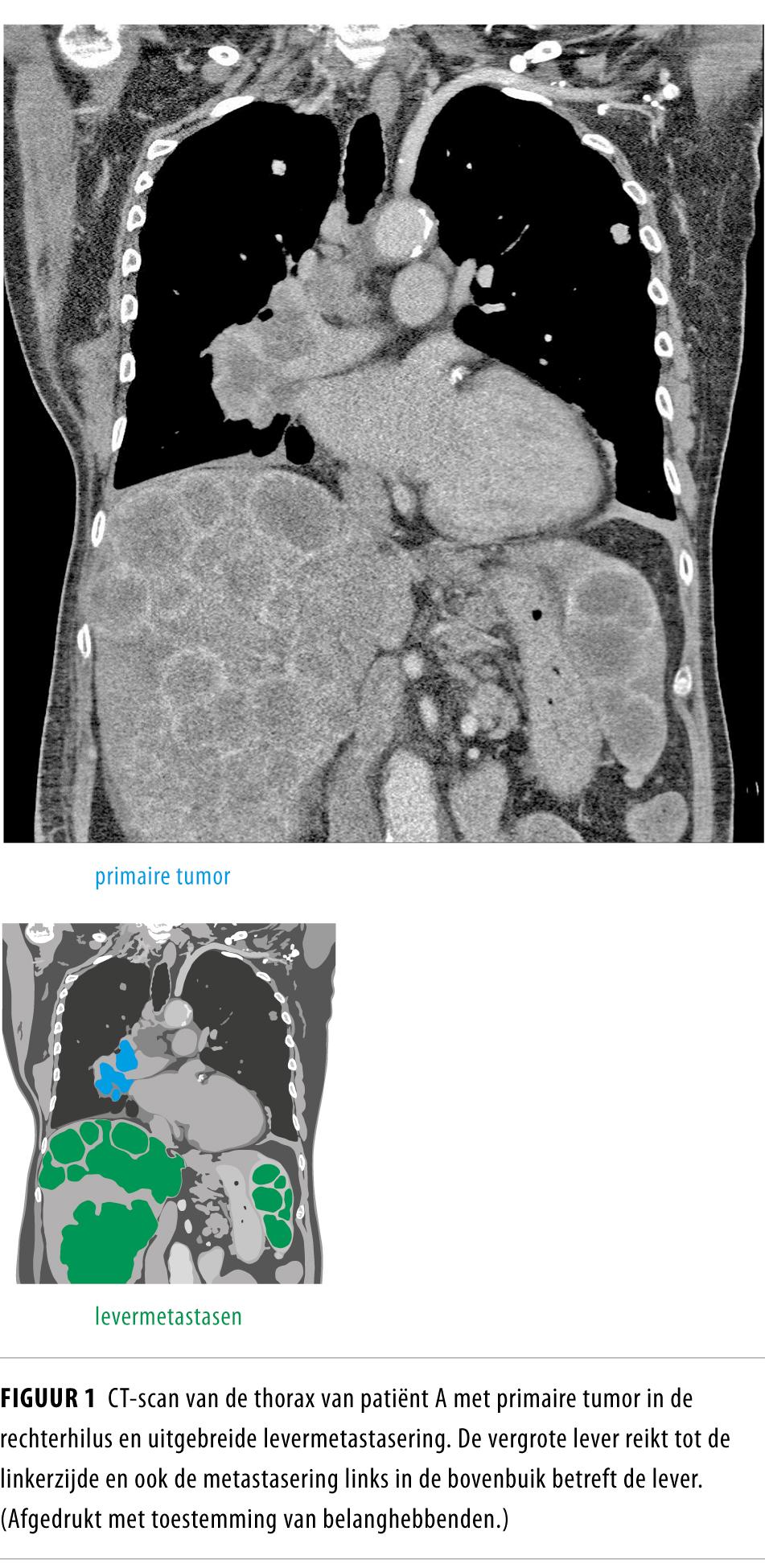
Tumorlysissyndroom bij kleincellig longcarcinoom NTvG

De kleine hersenen liggen aan de achterkant van het hoofd, onder de grote hersenen. De hersenstam is de verbinding tussen de hersenen en het ruggenmerg. Heel soms zaait longkanker ook uit naar de hersenvliezen of het hersenvocht. De uitzaaiingen heten dan 'leptomeningeale metastasen'. Zulke uitzaaiingen komen vaker voor in de laatste.
Longkanker Comprehensive Cancer Center

Op de MRI of CT-scan is te zien dat u uitzaaiingen in de hersenen heeft. Er zijn behandelingen die de uitzaaiingen weghalen of kleiner maken en behandelingen die uw klachten minder kunnen maken. De behandelingen hebben voordelen en nadelen. Samen met uw arts bespreekt u welke behandelingen bij u mogelijk en zinvol zijn.
Longkanker (kleincellig) NTVO

Overlevingscijfers van longkanker. Longkanker komt vaak voor. In 2023 kregen 14.803 mensen de diagnose longkanker. Dit zijn vooral mensen met kleincellige longkanker en niet-kleincellige longkanker.
Tumorlysissyndroom bij kleincellig longcarcinoom NTvG

Stadium 3. Er zit een tumor in de long. Ook zijn er meestal uitzaaiingen in de lymfeklieren van het mediastinum (de ruimte tussen de longen). 3A: de uitzaaiingen zitten aan de kant waar de tumor zit. 3B: de uitzaaiingen zitten aan de andere kant van de borstkas of in de lymfeklieren boven het sleutelbeen. 3C: de tumor is groter dan 5 cm en de.
Tumorlysissyndroom bij kleincellig longcarcinoom NTvG

U krijgt onderzoeken om te zien of u uitzaaiingen heeft. Zoals een CT-scan of PET-scan. Het duurt ongeveer 2 tot 4 weken voordat alle uitslagen van de onderzoeken bekend zijn. U kunt zich onzeker of gespannen voelen door de onderzoeken. Het kan helpen om te praten met uw huisarts of de verpleegkundige. Of met andere mensen met longkanker.
De plaats van chemotherapie bij het nietkleincellig longcarcinoom Nederlands Tijdschrift voor

Niet-kleincellige longkanker. Bij niet-kleincellige longkanker gaat het om kanker in vrij grote cellen. Daarin zijn drie verschillende soorten te onderscheiden: 1. Plaveiselcelcarcinoom. 2. Adenocarcinoom. 3. Grootcellig carcinoom.
Niet kleincellig longcarcinoom Mediastinale stadiëring Richtlijn Richtlijnendatabase

Eén enkele therapie toonde een verhoogde levensverwachting, maar met een representativiteit van slechts 10 à 15% van longkankers, kreeg dit weinig aandacht in medische publikaties. Deze aggressieve vorm van longkanker treft hoofdzakelijk rokers of oud-rokers met een levensverwachting van 5 jaar en dit voor nauwelijks 2% van de patiënten.
HC Pathologie longcarcinoom HC Pathologie longcarcinoom Longcarcinoom Kleincellig carcinoom
Wat is de overleving van kleincellige longkanker? Gemiddeld zijn 5 jaar na de diagnose nog 9 van de 100 mensen in leven. Let op: dit zijn gemiddelde cijfers voor alle mensen met deze soort kanker. Jouw vooruitzichten kunnen anders zijn dan het gemiddelde. Bespreek dit met de arts.
Betere detectie van EGFRmutaties in nietkleincellige longkanker OncoHemato

Kleincellig longcarcinoom. De tumorcellen van kleincellige longkanker ofwel kleincellig longcarcinoom zijn kleiner dan normale longcellen en delen zich sneller. Ongeveer 15% van de gevallen van longkanker is kleincellig. Bekijk ook de pagina over niet-kleincellige longkanker.
Pin en AIRLIFE MUNDIAL

Ongeveer 10% van de gevallen van longkanker is kleincellig. Daarnaast zijn meer zeldzame vormen: mesothelioom en neuro-endocriene tumoren van de long. Het mesothelioom, ook wel borstvlieskanker of asbestkanker, is een kwaadaardige vorm van kanker in de vliezen van de borstkas en longen en/of luchtwegen. Mesothelioom staat ook bekend onder de.
"Op het gebied van resectabel nietkleincellig longcarcinoom zijn veel nieuwe ontwikkelingen

In het kort. Bij longkanker met uitzaaiingen rondom de long kunt u meestal bestraling en chemotherapie krijgen. Behandelingen kunnen zorgen dat u langer leeft, met minder klachten. Er kunnen ook bijwerkingen zijn. Bijvoorbeeld moe zijn, jeuk, haaruitval of misselijk zijn.
Deltalike ligand 3 (DLL3) als doelwit voor gerichte behandeling van het kleincellig

Ninnescah #230, in Kingman, Kansas, holds bi-monthly Stated Communications on the first and third Wednesday of January, February, March, April and May. The meeting, held at 247 N MAIN ST in Kingman, KS 67068, starts at 7:00pm. Contact the lodge to. Stated Communication. May 15, 2024 - 7:00pm - 247 N MAIN ST, Kingman, KS 67068.
Longkanker over de ziekte

Als longkanker uitzaait, is dat meestal naar: de botten. de lever. de andere long. de hersenen. de pleura: het vlies dat rond elk van de longen ligt en dat de long scheidt van de borstholte. de bijnieren. Longkanker kan ook uitzaaien naar andere plaatsen, bijvoorbeeld naar: andere lymfeklieren in het lichaam.